Analyse myocardique assistée par une analyse intelligente prédictive issue de la caractérisation fluidique – application à la méthode Fractional Flow Reserve.

Keywords
FFR, FFRct,CFD, AI

FFR invasive - (Fractional Flow Reserve)

L’évaluation précise de la sévérité fonctionnelle des sténoses coronariennes est un enjeu clinique majeur dans la prise en charge des maladies coronariennes. La Fractional Flow Reserve (FFR), mesurée de manière invasive lors de la coronarographie, reste la référence pour différencier les lésions coronaires significatives des sténoses non critiques. Toutefois, cette méthode invasive comporte des risques, des coûts élevés, et un accès limité à certains patients.

FFRct - Technique non-invasive

La tomodensitométrie coronarienne (CCTA) couplée à l’estimation non invasive de la FFR par simulation numérique (FFRct) s’est imposée comme une alternative prometteuse. Les méthodes classiques de calcul reposent sur la dynamique des fluides computationnelle (CFD), qui modélise avec précision l’écoulement sanguin dans les artères coronaires. Cependant, ces approches CFD demandent un temps de calcul conséquent (de l’ordre de plusieurs dizaines de minutes à heures) et nécessitent des infrastructures informatiques lourdes, ce qui limite leur déploiement clinique en routine.

Approche

1

Acquisition

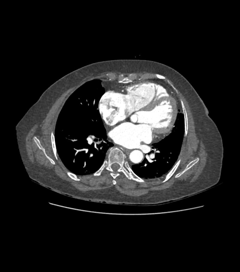
Imagerie anatomique de haute résolution

Les données sont obtenues par tomodensitométrie coronaire (CCTA), fournissant une visualisation détaillée de l’arbre coronaire en 3D.

2

Segmentation
Maillage

Reconstruction géométrique personnalisée

Les artères sont segmentées puis converties en maillage 3D haute qualité, prêt pour les simulations numériques.

3

CFD

Modélisation hémodynamique par CFD

Un solveur CFD non-newtonien simule les champs de pression et de vitesse, fournissant les données de référence pour l’entraînement IA.

4

AI

Prédiction rapide via Deep Learning

Un modèle CNN/GAN prédit les champs hémodynamiques à partir du maillage seul, avec une précision proche du CFD et en un temps réduit.

Méthode

Un solveur CFD personnalisé non-newtonien a été développé pour simuler l’écoulement sanguin dans des géométries coronaires, extraites de scanners CCTA. Les simulations CFD ont permis de calculer les champs de pression et de vitesse pour chaque géométrie. Ces données ont ensuite été utilisées pour entraîner un modèle d’apprentissage profond capable CNN/GAN, à partir du seul maillage de l’artère coronaire, de prédire les champs de pression et de vitesse associés. L’entraînement et la validation ont été réalisés sur des cas synthétiques et réels, via validation croisée.

Jumeau numérique CFD


Le cœur méthodologique repose sur un solveur CFD développé spécifiquement pour simuler l’écoulement sanguin dans les artères coronaires en considérant la nature non-newtonienne du sang, décrite par un modèle de viscosité dépendant du taux de cisaillement.

Modèle CNN/GAN


Le modèle d’apprentissage profond proposé combine une Convolutional Neural Network (CNN) pour l’extraction automatique des caractéristiques spatiales complexes du maillage, avec un Generative Adversarial Network (GAN) dont le discriminateur améliore la qualité des prédictions en distinguant les sorties réelles des synthétiques.

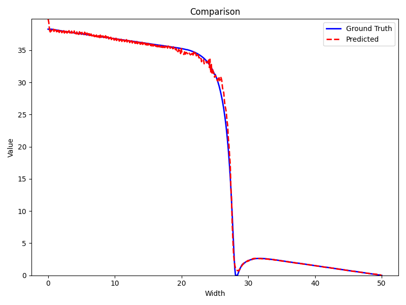
Premiers Résultats

L’approche combinée jumeau numérique CFD + IA permet une estimation rapide et précise de la FFRct à partir de simples maillages coronaires, réduisant considérablement le temps de calcul tout en conservant une haute précision. Elle ouvre la voie à une intégration clinique à grande échelle, y compris dans des environnements contraints en temps ou en ressources.

Erreur Absolue

Pa

Erreur Relative

%

Votez pour une avancée en FFRct alliant IA et CFD

Mohamed Lotfi MOUKNECHE

© Copyright 2025 - JDD 2025

Abstract

Cette étude propose une approche hybride combinant un jumeau numérique CFD haute fidélité et un modèle d’intelligence artificielle pour estimer rapidement et avec précision la FFRct à partir d’images CCTA. Un solveur non-newtonien a été utilisé pour générer des champs de pression et de vitesse, ensuite exploités pour entraîner un modèle CNN. Ce dernier prédit les champs hémodynamiques avec une forte concordance (SSIM = 0,94) et un gain de temps significatif.

Doctorant

Mohamed L. MOUKNECHE
Doctorant LIAS
CIFRE: DFM EUROPE
mohamed-lotfi.moukneche@ensma.fr